
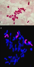
Following the earlier post on the fate of nutrients and micronutrients applied to crops as fertilizers, today’s paper is about micronutrients in grains, showing enhanced grain micronutrients in wheat-Aegilops longissima lines. Dr HS Dhaliwal from Himachal Pradesh, India, and colleagues including Chetan Patokar, now a research student in the Molecular Cytogenetics group here, study advanced introgression lines, and show approximate doubling of grain iron, zinc, copper, manganese and calcium. Genes related to grain micronutrient accumulation are located on Ae longissima chromosome arms 2S and 7S, although currently the lines have poor fertility and harvest index so further recombination with chromosomes in elite wheat will be required. The authors suggest these genetic stocks can start to address the ‘hidden hunger’ of the two billion people eating cereals who suffer from iron and zinc deficiency.
Link to paper: Development and molecular characterization of wheat- Aegilops longissima derivatives with high grain micronutrients
Kumari Neelam, Nidhi Rawat, Vijay K. Tiwari, Nikita Ghandhi, Patokar Chetan Arun, Sundip Kumar, Sangharsh K. Tripathi, Gursharn S. Randhawa, Ramasre Prasad and Harcharan S. Dhaliwal
Australian Journal of Crop Science 7(4):508-514 (2013)
Developing food crops with enhanced mineral concentrations is one of the most sustainable and cost effective approaches for alleviation of micronutrient. This article aims at development and molecular characterization of wheat- Aegilops longissima derivatives with high grain micronutrients (iron, zinc, copper, manganese, calcium, magnesium and potassium). Aegilops longissima (2n=14, SlSl) accession 3506 with high grain micronutrients was used for transferring these traits to elite wheat (Triticum aestivum) cultivars through wide hybridization. The fertile HD2687/L3506//WL711 BC1F3 derivatives were developed through selfing and selection for chromosome constitution, meiotic stability and micronutrient concentrations was done at each generation. Sixteen derivatives were finally selected and characterized. The selected backcross derivatives showed enhanced grain iron, zinc, copper, manganese, calcium, magnesium and, potassium concentrations over the parental wheat cultivars by up to 183.6%, 243.6%, 135.18%, 160.42%, 223.29%, 43.90% and 35.05%, respectively. Introgression of chromosomes 2, 7 and 1 from Ae. longissima, confirmed by plant waxiness,GISH, anchored wheat SSR markers and HMW glutenin subunit profiling and was found to be associated with enhanced micronutrients in the derivatives.
Local intranet link: Micronutrients_Chetan_Ae._longissima__AJCS[1]
Adverts below not associated with this site!
